Munkánk során minden esetben a tökéletes használati és esztétikai élményre helyezzük a hangsúlyt. Nemcsak saját műtővel rendelkezünk, de az állandó szájsebész szakorvos mellett fogtechnikus kollégáinkkal is a helyszínen konzultálhat.
Foghiány pótlása beültetéssel
Fogszabályozás fogeltávolítással és fogpótlással
Ügyfelünk egymásra nőtt, folyamatos tisztítási, esztétikai és funkcionális problémákat okozó fogak kezelésére érkezett. A fogszabályozás mellett szükség volt a ránőtt fog eltávolítására is.
A műtétet, a fogszabályzást és a fogpótlást követően a pótolt tag nemcsak megszólalásig hasonlít az eredetire, de esztétikailag és rágáskor is tökéletes élményt nyújt.
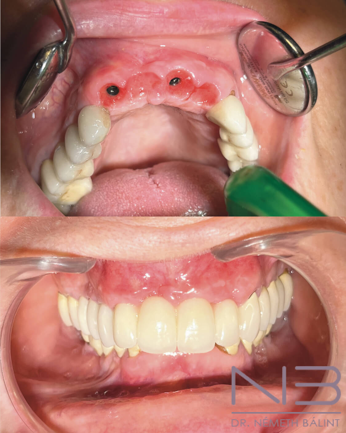
Több fog pótlása beültetéssel
Ügyfelünk a jobb oldali felső őrlőfogainak teljes hiánya miatt érkezett. A konzultáció során két teherhordó implantátum beültetését javasoltuk.
A műtét fájdalmmentes volt. Az elkészült rágófogak tökéletesen funkcionálnak, és helyszíni fogtechnikus kollégáink segítségével teljesen élethűek mind formában, mind színben.
Szeretettel várjuk, ha kezelésre van szüksége
Fontos számunkra, hogy kényelmesen és otthonosan érezze magát. Szeretnénk, ha tőlünk úgy állna föl, hogy ha szüksége van rá, bármikor szívesen visszatérjen.
Nálunk nem kell várakoznia
Mert a kezeléseket mindig a megbeszélt időpontban kezdjük. Nincs várakozás, nincs csúszás, nálunk Ön az első.

Időpontot szeretne?
Várom jelentkezését, kattintson ide!
Bóné ZSUZSANNA












