A fogpótlás nemcsak az esztétika miatt fontos: a rágás, a beszéd és az állcsont egészsége is múlik rajta. A foghiány mértékétől és helyétől függően rögzített, kivehető vagy implantátumra épülő megoldások állnak rendelkezésre, amelyek ma már tartósak és természetes hatásúak. A megfelelő fogpótlás kiválasztásánál az anyag, a stabilitás, az esztétikai igény és a hosszú távú biztonság egyaránt számít. Blogposztunkban összefoglaltuk, milyen megoldások jöhetnek szóba, és melyik típus mikor bizonyulhat a legjobb választásnak.
A rögzített fogpótlások fajtái: korona, fogászati híd, fogbetét
Korona
A fogkorona teljesen beborítja a fog felszínét, ezért ajánlott nagy kiterjedésű tömés, letört fog, kopás vagy gyökérkezelést követő meggyengült fog esetén. A fémkerámia és a cirkon a leggyakrabban választott fogpótlás-anyagok, utóbbi különösen előnyös fémallergia esetén.
A cirkon korona
A cirkon korona anyaga a cirkonium-dioxid, ami egy nagy szilárdságú, fehér színű porcelán anyag. Ennek következtében a cirkon korona megjelenése tökéletesen illeszkedik a természetes fogak színéhez. Továbbá, mivel abszolút fémmentes megoldás, garanciát jelent a fémallergia teljeskörű kiküszöbölésére.
A cirkon korona további előnyei:
- a hagyományos fémvázas megoldásoknál hosszabb élettartam,
- a számítógépes, úgynevezett CAD/CAM tervezési folyamatnak köszönhetően rendkívül pontos illeszkedés.
Fogászati híd
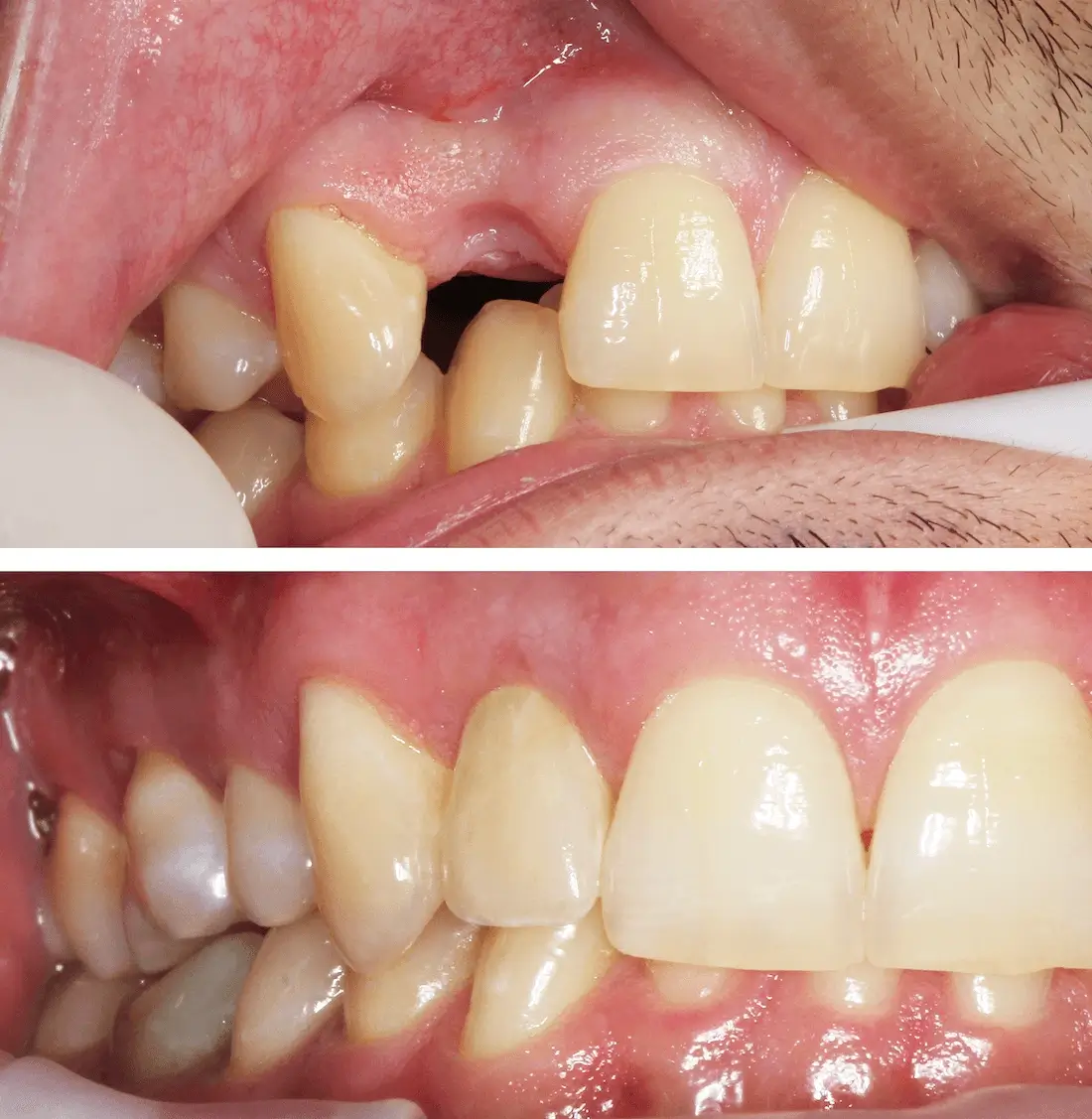
A fogászati hidak fajtái abban különböznek, hogy hány hiányzó fogat kell áthidalni. Léteznek hagyományos hidak (két pillérfogra támaszkodva), valamint csavarozott vagy ragasztott implantátumos hidak. A fogpótlás híddal akkor lehet ideális, ha több fog hiánya áll fenn, és elegendő stabil pillérfog áll rendelkezésre. Egyetlen fog hiányánál fontos szempont, hogy a híd elkészítéséhez két ép fog lecsiszolása szükséges. Ha a csontmennyiség megfelelő, az implantátummal készülő szóló korona kíméletesebb alternatíva lehet, mivel a szomszédos fogak érintetlenek maradnak.
Fogbetét: inlay / onlay
Az inlay-onlay betétek a nagy kiterjedésű szuvasodásnál vethetők be, amikor egy hagyományos tömés már nem nyújt biztonságos megoldást. Anyaguk lehet porcelán vagy kompozit, és nagyon pontos illeszkedést biztosítanak.
A korona és híd előkészítése minden esetben helyi érzéstelenítésben történik, így a fogpótlás fájdalommentesen végezhető. A végleges pótlás elkészültéig ideiglenes korona biztosítja az esztétikát és a fog védelmét.
A rendelőnkben igénybe vehető fémkerámia koronák és hidak váza nikkelmentes, jellemzően kobalt- vagy krómtartalmú ötvözetből készül. Ennek köszönhetően kisebb a valószínűsége, hogy allergiás reakciót váltanak ki. A fémváz teherbírása rendkívül nagy, így ezek a fogpótlások kiemelkedően tartósak. A fémvázra kerülnek azok a porcelánrétegek, amelyek megadják a szomszédos, természetes fogak színével tökéletesen egyező színárnyalatot.
A rögzített fogpótlások alkalmazása különösen ajánlott és eredményes:
- ha a kezelt fogban nagyobb méretű tömés van,
- ha gyökérkezelt a fog,
- ha a fog egy darabja letört,
- ha a fog számottevő része elkopott,
- ha rendelkezésre áll elegendő ún. pillérfog (fogászati híd esetén),
- ha lényeges a korona vagy híd nagy teherbírása.
A kivehető fogpótlások fajtái: részleges és teljes kivehető fogsor
A közvélemény által leginkább műfogsorként ismert kivehető fogpótlások ideális megoldást jelentenek kiterjedt vagy akár teljes foghiány esetén. Kényelmi szempontból nem érik el a rögzített fogpótlások színvonalát, áruk azonban jóval kedvezőbb. A kivehető fogsor fajtái közé a részleges és a teljes fogsor tartozik, ezek közül mindig a foghiány mértéke és a megmaradt fogak állapota alapján választunk.
A műfogsor fajták a rögzítés módjában is eltérnek, így megkülönböztetjük egymástól
- a teleszkópos fogsorokat,
- a stéges fogsorokat,
- a kapcsos kivehető fogpótláspkat, illetve
- a csúsztatós fogpótlásokat.
Részleges kivehető fogpótlás
A részleges fogpótlás valójában egy részleges műfogsor, ami a szájüreg adott részén a hiányzó fogakat helyettesíti. A természetes fogakhoz általában kapcsokkal, esetleg rejtett rögzítések segítségével rögzíthető. Anyaga egy fémlemez, amit egy műíny borít – erre kerülnek a természetes fogak megjelenését hűen utánzó műfogak.
Nagy kiterjedésű foghiány esetén alkalmazzuk, amikor túl kevés vagy nem kellő teherbírású természetes fog áll csak rendelkezésre. Ilyenkor rögzített fogpótlás, korona vagy fogászati híd alkalmazása technikailag nem kivitelezhető.
Teljes kivehető fogpótlás
Teljes foghiány esetén jöhet szóba ez a megoldás, ami tulajdonképpen egy komplett műfogsor alkalmazását jelenti. Mivel ezt a fogpótlást nem lehet természetes foghoz kapcsolni, jóval nehezebb biztosítani a rágáshoz elengedhetetlen stabilitást. Ez a leggondosabban elkészített teljes kivehető fogpótlásokra is igaz, különösen az alsó állkapocs esetében. Ez a probléma – ahogyan a részleges kivehető fogpótlás komfortosabbá tétele is – hatékonyan oldható meg fogászati implantátumok behelyezésével.
Különösen az alsó állcsont esetén okoz kihívást a teljes kivehető fogsor stabilitása, mert kisebb a tapadófelület, és a nyelv mozgása is befolyásolja a rögzülést. Ilyenkor már két implantátum is jelentősen javíthatja a komfortot és a rágóképességet.

Az implantációs fogpótlás
A fogászati implantátum lényegében egy speciális kialakítású titániumcsavar, ami az állkapocsba rögzítve a foggyökér szerepét tölti be. Bizonyos idő elteltével erre rögzítjük magát a fogpótlást.
Az implantációs fogpótlás lehetőséget ad a kivehető fogpótlások stabilabb, komfortosabb rögzítésére. Ilyenkor fogászati implantátumok beültetésére kerül sor, ezekhez kapcsoljuk a teljes vagy részleges kivehető műfogsort. Ez a megoldás jóval stabilabb, mint a “sima” kivehető fogpótlás. Sokkal könnyebb vele rágni, komfortfokozata magasabb. Teljes fogív esetén ma már elérhető az all on 4 fogpótlás koncepció is, amely négy implantátumra épülő, rögzített megoldást jelent.
A sikeres implantáció alapfeltétele, hogy megfelelő mennyiségű és minőségű csont álljon rendelkezésre az állcsont adott szakaszán. Ha a csontállomány a fogvesztés vagy természetes sorvadás miatt nem elegendő, csontpótlásra vagy sinus liftre, azaz arcüregemelésre lehet szükség. Ezekkel az eljárásokkal helyreállítható a csont térfogata, így biztonságosan beültethető az implantátum, és hosszú távon stabil fogpótlás készíthető rá.
Az implantáció rögzített fogpótlás esetén is kiválthatja a koronát tartó fogat vagy a hidat tartó fogakat. Szóló koronák vagy kisebb hidak esetén az implantátumokra ragasztással rögzíthető a fogpótlás. Nagyobb hidak esetén előnyösebb a csavaros rögzítés. Ennek előnye, hogy szükség esetén az egész fogmű egyszerűen és gyorsan eltávolítható, majd a szükséges kezelés végeztével visszahelyezhető.
Az implantációs fogpótlás előnyei
- Segítségével megőrizhető az ép fogak anyaga,
- megállítható az állkapocs csontállományának sorvadása,
- nagyobb stabilitást, könnyebb rágást, komfortosabb közérzetet tesz lehetővé,
- jobb mimikát, artikulációt, szebb mosolyt tesz lehetővé,
- eredménye tartós, hosszú távú.
A fogpótlás menete
A fogpótlás egy többlépcsős kezelési folyamat, nézzük sorban az egyes fázisait.
- Konzultáció, állapotfelmérés, a kezelés menetének konkretizálása
Az első lépésben felállítjuk a diagnózist, és megbeszéljük, milyen lehetőségek vannak a probléma megoldására. Végül ezek közül kiválasztunk egyet a páciens döntését maximálisan figyelembe véve.
- Fogak csiszolása
A pótlást tartó fog vagy fogak megfelelő mértékű csiszolását helyi érzéstelenítésben végezzük, így ez a kezelés teljesen fájdalommentes. (Kivehető fogpótlás és implantációs fogpótlás esetén ez a lépés természetesen kimarad).
- Lenyomat készítése
Az alsó és felső fogsorról készített lenyomat segítségével készíti el a fogtechnikus a végleges pótlást.
- Ideiglenes fogpótlás
A végleges pótlás elkészültéig, ha szükséges, ideiglenes fogpótlást biztosítunk. Ez egyrészt megvédi a nyitott fogfelszíneket, másrészt, ha a fogpótlás jól látható helyen van, esztétikailag is pótolja a hiányzó foganyagot. Az ideiglenes pótlás nemcsak az esztétika miatt fontos: segít megőrizni a harapási magasságot, védi a frissen előkészített fogfelszíneket, és megakadályozza a fogak elmozdulását. Implantátum esetén külön figyelmet igényel az ideiglenes pótlás kialakítása, mivel a gyógyuló implantátumot nem szabad túlzott terhelésnek kitenni.
- Vázpróba
A kész, de még festés nélküli fogpótlást, az ún. vázat fogorvosunk behelyezi, és ellenőrzi annak pontosságát, illeszkedését, magasságát stb. Ha a váz minden szempontból megfelelő, véglegesíti a páciens által is jóváhagyott színt, majd visszaküldi a fogtechnikai laborba.
- A kész fogpótlás behelyezése
A véglegesített korona vagy híd rögzítése, beragasztása egy végső próbát követően történik, ha minden részlet stimmel. (Kivehető fogpótlások esetén természetesen ez a lépés elmarad.)
A fogpótlás mennyi idő alatt készül el?
Rögzített fogpótlás
Korona vagy híd esetén általában 2-3 alkalommal kell meglátogatnia rendelőnket. Ideális esetben 1-2 hét alatt elkészül a fogpótlás.
Kivehető fogpótlás
Ha minden rendben van, összesen 4 alkalommal kell felkeresnie rendelőnket, és 2 hét alatt elkészül az új fogpótlás. Kombinált, saját fogakhoz rögzített fogpótlás esetén 2-3 üléssel többre van szükség.
Implantációs fogpótlás
Ennél a fogpótlásnál jóval több a kezeléshez szükséges idő, de hogy mennyivel, azt lehetetlen pontosan megmondani. Az implantátum beültetését követően ugyanis meg kell várni, amíg az implantátumot körbenövi a csont. Ez pedig mindenkinél más és más: lehet, hogy megtörténik 2 hónap alatt, de előfordulhat hogy fél évet is várni kell, míg az implantátum stabilan meg tudja tartani a rákerülő fogpótlást.
Fogpótlás árak
A fogpótlás árak tekintetében, mivel minden páciens, minden kezelés különbözik, ezért nem lehet pontos árat prognosztizálni. Aktuális árainkat itt lehet megtekinteni.

Teljeskörű fogászati és szájsebészeti kezelések Budapest szívében
Rendelőnk a felhasznált anyagok, eszközök, az alkalmazott módszerek és a páciensekkel való bánásmód terén egyaránt a maximumra és a kiemelkedő színvonalú ellátásra törekszik. Ez a foghúzások, fogtömések és -pótlások, fogimplantátumok, illetve a szájsebészet eljárásai, például bölcsességfog-eltávolítása esetén éppen úgy igaz, mint bármilyen más fogászati kezelésnél.
Néhány szempont, amiért érdemes bennünket választani:
- a legkiválóbb minőségű, kiemelkedően tartós fogászati anyagok használata – implantátumok esetében például a svájci Straumann termékei,
- a legkorszerűbb technológiák alkalmazása a kezelések során,
- munkánk során a szaktudás mellett a legfontosabb tényező a bizalom és a kellemes atmoszféra a pácienseink számára,
- ezt szolgálja, hogy pácienseinket előre egyeztetett időpontban fogadjuk, így várakozás nélkül vehetik igénybe szolgáltatásainkat,
- több kezelőnk, műtőnk és saját panoráma röntgenünk lehetővé teszi, hogy egyetlen helyszínen minden szükséges vizsgálat és kezelés elérhető legyen.
Ha a gyors, fájdalommentes kezelésekről van szó, amelyek eredménye hosszú távon is tartós, nem ismerünk kompromisszumot. Ugyanilyen fontos számunkra, hogy mindenki, aki felkeres bennünket, kényelmesen és otthonosan érezze magát nálunk. Szeretnénk, ha minden páciensünk úgy állna fel a fogorvosi székből, hogy bármikor szívesen visszatérjen hozzánk, ha szüksége van ránk.




